症状紹介
当技工所は、これまで数多くの歯科医院様の様々なリクエストにお応えしてまいりました。
こちらでは、一部ではございますが当技工所の症例・技工物をご紹介しています。
ぜひ参考にしてください。
こちらでは、一部ではございますが当技工所の症例・技工物をご紹介しています。
ぜひ参考にしてください。
オールセラミックジルコニア
オールセラミックジルコニア
オールセラミックジルコニア
オールセラミックジルコニア
e-maxインレー(右下6番)
e-maxクラウン右下6番
e-maxクラウン
e-maxクラウン
e-maxクラウン
e-maxクラウン
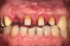
メタルセラミック(コバルトクロム右上3~左上5)
メタルセラミック
メタルセラミック
メタルセラミック
メタルセラミック
メタルセラミック
メタルセラミック
メタルセラミック

